Patient Results

Your reward for all the hard work during treatment is a smile you’re proud to share. At Space City Orthodontics, we have the best jobs in the world because we get to see and participate in transformations like these. We’re so grateful for our patients who let us share their results with the world!

After Before
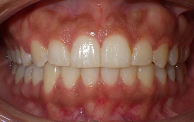
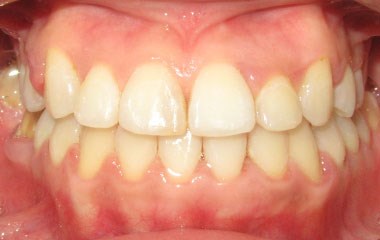
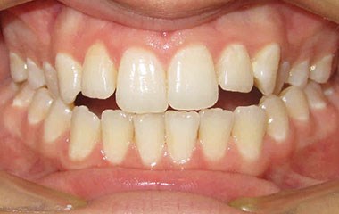
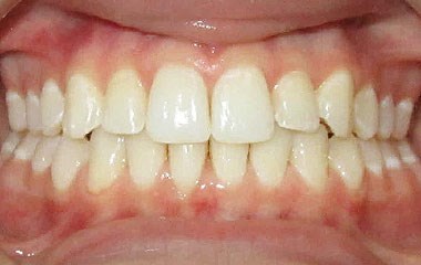
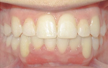
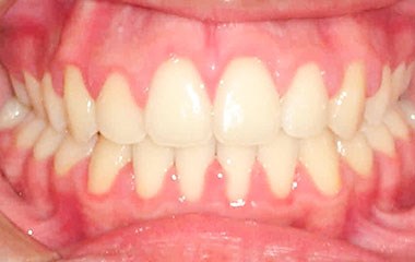
AFTER
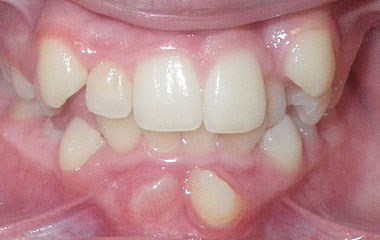
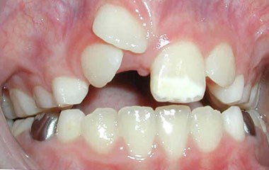
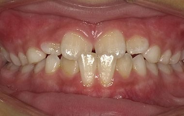
BEFORE

Braces Results

After Before
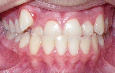
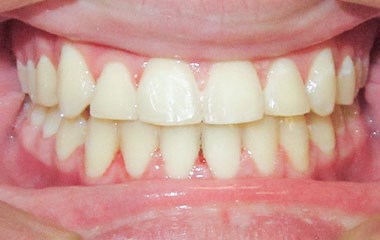
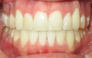
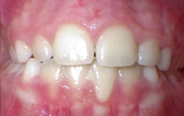
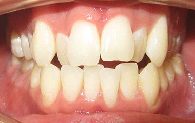
AFTER
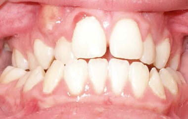
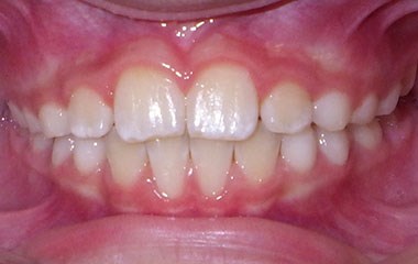
BEFORE

Braces Results

After Before
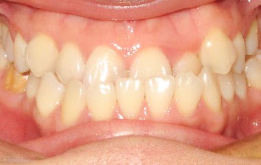
AFTER
BEFORE

Braces Results

After Before
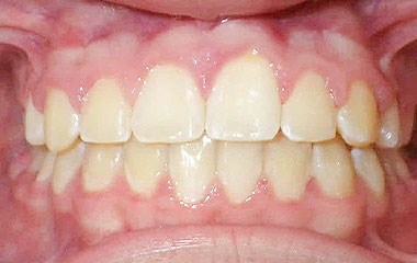
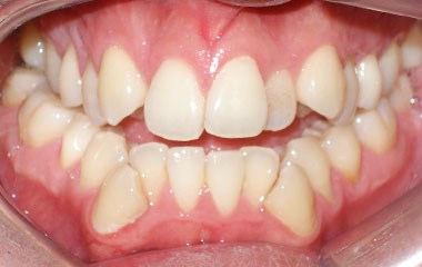
AFTER
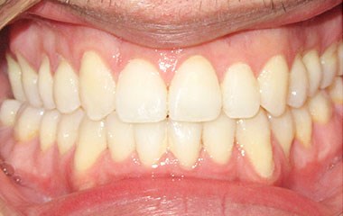
BEFORE

Braces Results

After Before
AFTER
BEFORE

Braces Results

After Before
AFTER
BEFORE

Braces Results

After Before
AFTER
BEFORE

Braces Results

After Before
AFTER
BEFORE

Invisalign® Results

After Before
AFTER
BEFORE

Invisalign® Results

After Before
AFTER
BEFORE

Invisalign® Results

After Before
AFTER
BEFORE

Invisalign® Results

After Before
AFTER
BEFORE

Invisalign® Results

About Our Practice

Learn More

Featured Services

View Services

Real Patient Reviews

763

Total Reviews

5

Average Rating

star-full star-full star-full star-full star-full
Read Our Reviews

Start Your Journey Today

Schedule
Book Now Button

Book Now

Call Us Button

Call Us